私たちについてAbout Us

健康診断への取り組み

2002年の設立以来、Kiwi Prideは健康診断の結果が最高のものであった犬のみを繁殖に用いるという信念を、一切揺るがせてきませんでした。この理念は決して妥協されることはなく、2002年に設定したこの基準のおかげで、現在Kiwi Prideでは高い繁殖倫理を持って取り組んでいると胸を張って言えます。心から、私たちはできる限りの最善の繁殖を行っています。

毎日、毎月、毎年、私たちは繁殖プログラムをより良くする方法を探求し続けています。そして、これからも努力を続けていきます。健康で、性格が良く、美しく育てられたラブラドゥードル以外をお届けするつもりはありません。また、獣医業界での経験を生かし、最新かつ最良の検査を確実に実施しています。

以下に、Kiwi Prideが繁殖犬に対して行っている検査項目を掲載いたします。これにより、私たちの取り組みをよりご理解いただけると思います。子犬が巣立つ際には、子犬の健康検査証明書、健康手帳、WALAによる2年間の健康保証、それぞれの両親だけでなく6世代前までの検査結果データベース登録Noの入った血統書をご提供しています。これらの結果は、各繁殖犬についてWALAによって厳格に監査され、繁殖するための資格を有しています。

Kiwi Prideが子犬の健康診断を行う理由

生後8週齢になった子犬は獣医師のもとで、通常の初回ワクチン接種以上の総合的な健康診断を受けてもらいます。獣医師が検査する体の部位は多岐にわたり、その内容は子犬の健康証明書に記録され、子犬のマイクロチップ番号で確認されます。獣医師は、心臓に問題がないか、顎に問題がないか、靭帯に問題がないか、ヘルニアがないかなど、様々な項目をチェックします。

Kiwi Prideでは、親犬の健康診断をとても厳格に行っており、その結果、子犬たちに医学的な問題が見られることはほとんどありません。まれに遺伝に起因しない小さな課題が見つかることもありますが、私たちはそれをできるだけ早い段階で発見し、ご家族に丁寧に情報をお伝えすることを大切にしています。

8週齢で行う検査では、すべての目に見えない要素を判断することは難しいものの、Kiwi Prideでは常に最善を尽くし、将来的なリスクをできる限り減らす努力をしています。生き物である以上、予測できない出来事はありますが、私たちはご家族が安心して新しい家族を迎えられるよう、誠実かつ丁寧なサポートをお約束します。

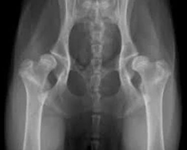
股関節と肘関節のX線検査とは - BVAシステム

BVAとは「British Veterinary Association(英国獣医師会)」の略で、この検査方式はイギリスで開発されたものです。スコアリングは左右両方の股関節に対して行われ、10項目に分けて評価し、それぞれの点数を合計して最終スコアを算出します。どれか1つの項目で4以上のスコアを示す場合、その犬は早期段階で退行性変化の兆候があるとされ、繁殖には不適と判断されます。犬種によってはスコアが高く出ることがあり、その場合は繁殖には向きません。合計スコアが100を超える場合もあります。

私たちの犬たちは長年にわたり、常に非常に低いスコアを維持しています。基本的には、オーストラリア国内のラブラドゥードルの平均値(合計12.75)を下回る犬を使用しています。オス犬に関しては、さらにスコアが低いことを絶対条件としており、基準を緩めるつもりはありません。

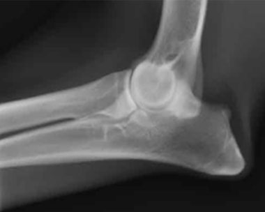
肘関節のスコアは0〜3の範囲で評価されます。私たちは、両肘のスコアが1を超える犬は絶対に繁殖に使用しません。0または1であれば繁殖に適しており、これまで当犬舎では肘関節形成不全の報告は一度もありません。

PennHIPとは

PennHIPは、股関節の状態を詳しく調べるための新しい検査方法で、将来、関節炎や股関節形成不全といった問題が起こる可能性をより正確に予測できるのが特徴です。PennHIPでは、股関節の角度やゆるみ具合、そして関節に変化がないかなどを電子的に測定します。結果はパーセンタイルという形で示され、ラブラドゥードルの場合は「犬種の平均範囲内」に収まっていることが理想とされています。

Kiwi Prideでは、検査の結果は獣医師と一緒に確認し、次の世代の子犬たちがより健康で安定した関節を持てるよう、最適な組み合わせを考えて繁殖を行っています。
PennHIPは、これまでのBVA方式よりも新しく、より正確に健康状態を把握できる検査です。WALA加盟犬舎のKiwi Prideでは、撮影したレントゲン画像はアメリカに送られ、専門機関で正式にスコアがつけられデータベースに記録、透明性を持って公開されます。

DNA検査について

Kiwi Prideでは、2002年にラブラドゥードルの繁殖を始めた当初から、DNA検査を積極的に取り入れています。「健康で幸せな子犬を育てるために、できる限りのことをする」――そんな想いから、当時から利用できる検査を最大限に活用し、高い基準での繁殖を続けてきました。

初期の繁殖犬たちを検査することで、オーストラリアンラブラドゥードルに見られる「進行性網膜萎縮症(PRA)」という遺伝性の失明疾患を取り除くことができました。その後、海外から導入した犬たちも同様にこの病気の遺伝子を持たないことを全て確認し、清浄な血統を維持しています。

現在もこの「クリア(遺伝病がない)」状態を守り続けるために、繁殖プログラムで活躍するすべてのお父さん犬に、失明関連の疾患を含むさまざまな遺伝子検査を実施しています。その結果、すべての検査でクリアという嬉しい結果を継続して得ることができています。昨今はお母さん犬たちにも同様の検査を順次進めており、健康で安心できる繁殖体制をさらに強化し続けています。

実施している主な検査項目

  • 運動誘発性虚脱(Exercise Induced Collapse)
  • 常染色体劣性遺伝性腎症(Autosomal Hereditary Recessive Nephropathy)
  • シスチン尿症(Cystinuria)
  • X連鎖性ミオチューブラーミオパチー(Myotubular Myopathy X-Linked)
  • 新生児脳症(Neonatal Encephalopathy)
  • フォン・ヴィレブランド病(Von Willebrand’s Disease)
  • 変性性脊髄症(Degenerative Myelopathy)
  • 中心核ミオパチー(Centronuclear Myopathy)
  • グロボイド細胞白質ジストロフィー/クラッベ病(Globoid Cell Leukodystrophy / Krabbe’s Disease)
  • ナルコレプシー(Narcolepsy)
  • 進行性杆体錐体変性症(PRA:Progressive Rod-Cone Degeneration)

また、被毛の長さやカラータイプ(毛色)に関する遺伝的な特徴も検査しており、これらの情報をもとに、より理想的で健やかな子犬を誕生させるための繁殖計画を立てています。
これらの取り組みは、Kiwi Prideが大切にしている「健やかで幸せな家族の一員となる子犬を届けたい」という想いの一環です。検査の結果に喜びと安心を感じながら、これからも責任を持って命と向き合い続けていきます。